Maxillofacial Injury

新光醫院 急診科; 報告者: 梁偉成 醫師; 指導者: 張志華 醫師

Maxillofacial Injury: Anatomy

 

Maxillofacial Injury: Radiologic Evaluation



Standard Facial series



Waters View

 
  • Most Valuable 
  • Screening Tool
  • Evaluation Midface
  • Dolan Evaluation Method 
  • Four  Curvilinear To Observing For Asymmetry


Waters View

Normal

Water Views

  Blow-Out Fracture

Caldwell View

Evaluation The Upper And Middle Thirds Of The Face

Lateral View

 
  • Frontal Sinus
  • Maxillary Sinus
  • Pterygoid (Le Fort Fracture)

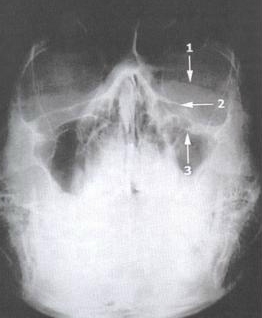
Submentovertex View

Zygomatic Arch

Standard Mandibular Series



Standard Mandibular Series: PA View

 
  • Lower Ramus
  • Angle
  • Body

Standard Mandibular Series: Lateral Oblique Views

 
  • Condylar
  • Coronoid Processes
  • Ramus
  • Angle
  • Body

Standard Mandibular Series: Townes  View

Condylar

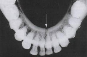
Standard Mandibular Series: Mandibular Symphysis



Standard Mandibular Series: Occlusal View

 
  • Special Dental Film
  • Symphysis
  • Alveolar Processes
  • Maxillofacial Injury

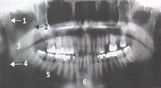
Standard Mandibular Series: Panoramic View

Single Most Useful Film In Diagnosis Of Mandibular Fracture


Standard Mandibular Series: Panoramic View

Fracture of Condylar Process, Ramus, Body Of Mandible


Conventional Radiography VS CT

  • Plain Film
  • Economic
  • Diagnostic Base
  • Screening Tool
  • Providing Orientation And Direction To CT
  • Associated Tissue Injury
  • Comminution And Displacement Of Fracture
  • Three Dimension
  • Planning Surgical Treatment
  • Maxillofacial Injury

CT



Le Fort Fractures

 
 



Le Fort Fractures: History

 
  • Mechanism
  • Does your bite feel normal?
  • Is your upper lip, side of nose, or upper gingiva numb?
  • Does your jaw hurt? Where?

Le Fort Fractures: Clinical Examination

 
  • Inspection
  • Palpation
  • Grasp The Anterior Maxillary teeth With Thumb And Finger

Le Fort Fractures: Management = ATLS



Le Fort Fractures: Life-Threatening Problems



Le Fort Fractures: Airway



Le Fort Fractures: Bleeding

 
  • External compression bleeding wounds
  • Nasal packing

Le Fort Fractures: Associated Injuries


Thank you